Q1:CT検査はどんな装置で検査するのでしょうか?
| CT(Computed Tomography)検査はX線を利用して、物体を透過したX線の量をデータとして集めて、コンピュータで処理することによって、物体の断面画像を得る検査です。現在多くの施設で実用化されている装置はマルチスライスCTと呼ばれ、短時間で広範囲を撮影することができ、立体的な画像(3D画像)を容易にできるようになりました。 | ![]() |
Q2:CT検査はどんな画像が得られますか?
|
一般に薬(造影剤)を使用しない検査(単純検査)では、一度の撮影で任意の断面での観察や3D画像を得ることができます。また、造影剤(ヨード製剤)を使用する(造影検査)ことにより、血管や各臓器の血液の流れを調べることができ、より多くの情報を得ることができます。
右の画像はゴルフボールのCT画像から作成した3D画像と実物の写真です。ゴルフボールの表面の凹凸と形をほとんど同じように表現することができます。
一回の撮影時間は検査内容で異なりますが、単純検査で5~10分、造影検査で5~20分程度です。 |
![]() |
Q3:CT検査を受けるときに気をつけることはありますか?
受精卵から胎児の間は非常に感受性が高い(Q5参照)ので、妊娠中またはその可能性のある方は、できるだけ避けた方がよろしいが、病気と検査の関係もありますので、担当の医師にご相談ください。
植込み型除細動器または一部の心臓のペースメーカーは本体部分にX線が当たると不具合が生じる可能性がありますので、担当の医師にご相談ください。
また、検査内容(主として造影剤を使用する場合など)により絶食していただく場合がありますので、事前に医療機関にご確認ください。
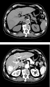
Q4:造影検査とは?
| CT検査では水溶性ヨード造影剤が用いられます。通常腕の静脈より投与され、血管を介して全身の臓器へと分布します。この分布により病気や各臓器の血流状態や血管の情報を得ることができます。造影剤を使用しなくても検査は実施できますが、病気の存在が分かりにくく正確な診断ができないことがあります。右の図は造影剤を使用する前と使用した後の画像です。この検査では血管の流れや病気、臓器の状態をわかりやすくすることができます。 一方、ヨード造影剤が投与されると体内はバランスを保とうとするはたらきが作用し、どなたにも熱感や疼痛が起こります。また、安全な薬ですが使用後にまれに副作用が生じることがあり、使用後すぐに起きる場合と、数時間から数日経ってから発生する場合があります。副作用の種類は、軽度なものは吐き気・かゆみ・発疹・動悸、重度なものは呼吸困難・血圧低下・意識障害などがあります。仮に副作用や合併症が生じた場合は、医師や看護師が直ちに適切な処置を行います。少しでも異常を感じた場合は遠慮なく担当者へお知らせください。また数日後に発生した場合でも適切な治療を行いますので、医療機関にご連絡ください。 |
![]() |
Q5:CT検査の被ばく
CT検査に限らず、医療行為には必ずメリット・デメリットが生じます。CT検査では上記のように、他の放射線検査では得られない詳細な形態画像を得ることが可能で、現在の画像診断の根幹を成す検査と言えます。一方で他の放射線検査に比べると被ばく線量は高い部類に入ります。
放射線の影響は確定的影響と確率的影響に分類されます。確定的影響はしきい値を超えると統計的に急激に組織・臓器に障害が現れます。しかし、通常のCT検査の臓器線量は20~30mGy程度で、最も敏感な器官形成期の胎児奇形線量の100mGyを超えることはありません。また確率的影響は全身に200mSv以上の被ばく(実効線量)を受けたとき発がん率が一定の割合で増加します。しかし200mSv以下の人体への影響の定説はなく、通常のCT検査の実効線量は10mSv程度であり発がんの確率はあっても低いものと考えられます。
しかし、CT装置が進化したからと言っても、むやみやたらに検査を行ったりまた撮影範囲も常に全身に亘ることはありません。検査をオーダする医師は診療上その検査が必要かどうか(正当化)の判断をし、診療放射線技師はより低い線量でより質の高い画像を提供する(最適化)ことを常に実行しています。基本的に健康被害をもたらす被ばく線量ではありませんが、不安なことやわからないことがありましたら、医療機関に遠慮なくご相談ください。








