Q1:MR検査はどんな装置で検査するのでしょうか?
| MRI(Magnetic Resonance Imaging)検査は、CT検査のように体の断面画像を作って病気を診断する検査です。 右がMR装置(一例)の写真です。CT検査で使う装置と比べると、人体が入る筒が長く奥行きがあります。 MR検査では、X線を用いないで、強力な磁石と電波を使って画像を作ります。 |
![]() |
Q2:MR検査はどんな画像が得られますか?
| 右の画像は、くだもののキウイをMR装置で撮像した縦割りと横割りの画像です。白黒の画像ですが、キウイを食べるときに包丁で切った場面を想像してください。実物に近い鮮明な画像が得られます。 同様に人体を検査した場合も分かりやすい画像が得られます。また、部位によって薬(造影剤)を使わないでも右に示すような血管のみの画像を得ることもできます。 一回の撮像時間は3分程度の検査ですが、多くの種類の画像を撮像しますので、全体では20分程度の時間がかかります。 |
![]() |
|
| 脳血管の画像 | 女性の子宮の画像 | |
Q3:MR検査を受けるときに気をつけることはありますか?
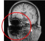
| 非常に強力な磁石を使用しているため、原則として金属類を検査室に持ち込むことはできません。体内に医療機器(ペースメーカー、除細動器、神経刺激装置、人工内耳等)を埋め込んでいる方は検査を受けられません。しかし最近は,ペースメーカを始めとする体内金属でもMR対応の医療機器が発売され挿入されている患者様が多数おられます.これらはある一定の条件下でMR検査を認められているものなので,事前のチェックなしに検査はできません.他にも脳動脈瘤クリップ、ステント等、体内に金属の入っている方も同様ですので、事前に医療機関にご確認ください。 右の頭部画像の赤丸で囲った部分は、入れ歯の金属の影響で必要な信号を得られなかった部分です。このようにMR検査では金属に対して注意が必要です。 |
![]() |








