Q1:消化管の検査には、どのような種類があるのでしょうか?
消化管の検査は、大きく分けて、X線を使用する「消化管X線造影検査」と内視鏡を利用する「消化管内視鏡検査」があります。
内視鏡とX線検査を比較すると、それぞれメリット・デメリットがあります。例えば、スキルスタイプの胃がんは消化管X線造影検査のほうがよりわかりますが、内視鏡検査は、生検による細胞診が可能であるため、病変の良悪性の確定情報を得ることが可能です。ただ、消化管X線造影検査はX線を使用しますので、放射線被ばくに配慮する必要性があります。
Q2:なぜバリウムを飲むのですか?
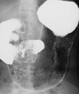
| 食道・胃・腸などの消化管臓器は単純X線撮影では、周りの臓器とのX線の吸収差が小さいため、はっきりした画像を撮影することができません。そこで、X線の吸収が大きなバリウム液等の造影剤と呼ばれる薬剤を入れ、画像の濃淡がはっきり出る状態にして撮影します。また、日本で開発された、バリウム液と空気や発泡剤のガスを利用した、『二重造影法』といわれる検査法は、消化管粘膜の状態を詳細に描出できるので、早期の病変の発見に大きな成果を上げています。 | ![]() |
| 胃の二重造影像 |
Q3:上部消化管X線造影検査とは何ですか?
食道、胃、十二指腸までの消化管X線造影検査です。
検査前に胃や十二指腸のはたらきを抑える注射をし、造影剤のバリウム液を飲んで胃の粘膜に付着させます。この検査ではがんやポリープ、潰瘍などが見つかります。検査前日の夕食以降は、食事を抜いて胃を空っぽにしておく必要があります。
Q4:下部消化管X線造影検査(注腸)とは何ですか?
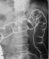
| 大腸の消化管X線造影検査です。大腸の中の便をきれいに排出しておかなければならないので、検査の前々日から検査食や下剤を飲んで検査の準備をする必要があります。検査前に大腸のはたらきを抑える注射をし、造影剤のバリウム液と空気を肛門から注入し、腸の粘膜にバリウムを付着させます。この検査ではがんやポリープなどが見つかります。食生活が欧米化し大腸がんが増えています。検診では、便潜血反応検査を行い、検査が陽性のとき、下部消化管X線造影検査や、内視鏡検査を行います。 | ![]() |
| 大腸の二重造影像 |







